| Faszination
Berner Sennenhund.... |
Ein Berner kommt selten allein.... |
|
| |
An
einem Freitag im März diesen Jahres, es war der 16., machte ich mich
mit der Lady auf den Weg zur Tierklinik Magdeburg in der Ebendorfer
Straße. Nach langer Abstinenz war es mal wieder soweit. Schon ein zwei Tage zuvor hatte sich ihr Unwohlsein durch Erbrechen und Durchfall angekündigt. Die
üblichen Maßnahmen (Diät - Hühnchen und Reis) hatten keinen Erfolg
gezeigt. Nun war für mich klar, dass die Lady sich einen
Magen-Darm-Virus eingefangen hatte. Also auf zur medizinischen Abteilung
um das Übel zu beseitigen. Nach
einer kurzen Besprechung mit Frau Doktor Zapfe erging eine klare
Diagnose - Magen/Darminfekt. Es gab die üblichen Sachen, wie
Antibiotika und etwas zur Beruhigung und Linderung des Brechreizes. Wir
zogen von Dannen und harrten der Dinge. Leider verbesserte sich ihr
Zustand über Nacht überhaupt nicht, so dass wir dann am Samstagvormittag
wieder in der Klinik erschienen. Frau Doktor Zapfe hatte auch heute
wieder Dienst und entschied kurzerhand eine Röntgenaufnahme des Bauchbereichs zu machen. Die
anschließende Mitteilung ließ mich nicht gerade Freudensprünge
vollziehen. Die Diagnose lautete, Gina hat ein Spielzeug im Magen -
oder auch alles nur geklaut wie sich später herausstellen sollte. Bedenklich
war allerdings, dass Gina trotzdem minimal Kot- und Harnabsatz hatte.
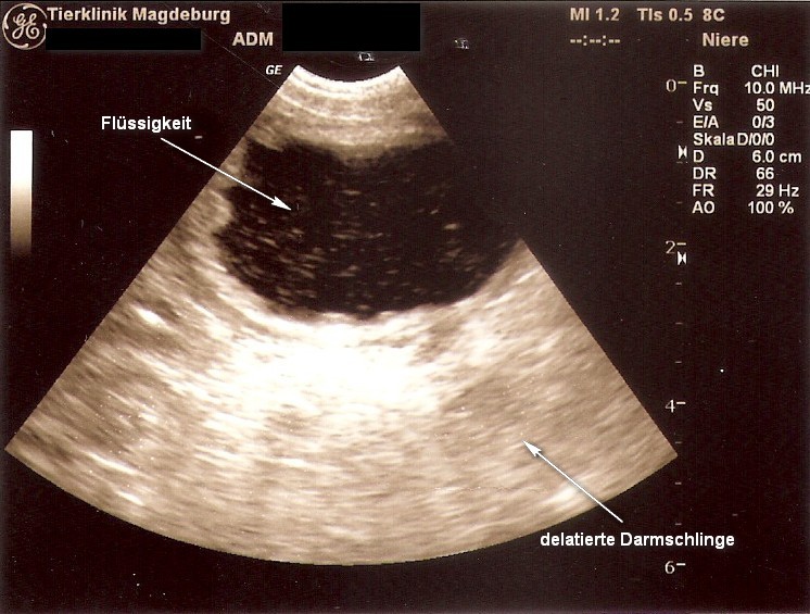
Da der Verdacht nahe lag, dass sich dort noch etwas versteckte, führte
Frau Doktor Leppelt eine Sono und einen weiteren Tastbefund durch - ja
da war doch noch etwas.
Die Damen der medizinischen Abteilung entschieden dann mal nachzuschauen, was es da zu sehen gäbe.

Eine
von diesen beiden Kong-Kullern hatte sich schon in einer Darmschlinge
versteckt und die Öffnung in ihr sorgte für den noch minimalen Kot- und
Harnabsatz.

Ja
was soll ich sagen, dieses ach so schöne Spielzeug befand sich
nicht in unserem Bestand, zeigte sich aber als erstes
nach der Öffnung des Magens. Es sah allerdings nicht mehr ganz so schön aus und die Farbe ließ sich nur noch erahnen.

Auf hochauflösende Bilder dieser Art
kann ich für die Zukunft gerne verzichten :-) ....

Die Tierklinik war so freundlich mir diese Bilder zu überlassen (zum
Zwecke dieser Nutzung und Abschreckung anderer gefräßiger und gieriger
Bärlis) und Frau Doktor Zapfe war so nett, die Bilder fachmedizinisch
zu kommentieren.

Hier wurde der Übeltäter - Kullerkong - nach einem weiteren eingehenden Tastbefund dingfest gemacht.
Nun ist aber genug der schönen Bilder und die Sache nahm wie im Märchen ein gutes Ende. Aller
Unrat den die Lady vor lauter Gier in einem unbeobachteten Moment in sich
reingestopft hatte, wurde von Frau Doktor Zapfe fachgerecht entfernt.
Zu guter Letzt bekam die Lady noch einen wunderschönen Reißverschluss
verpasst und mittlerweile ist von all dem nichts mehr zu sehen.
Ich
möchte daher an dieser Stelle die Möglichkeit nutzen, mich bei allen
Beteiligten und in allererster Linie bei Frau Doktor Zapfe und Frau
Doktor Leppelt noch einmal recht herzlich zu bedanken und ihnen zu
bescheinigen, dass sie alle einen professionellen Job gemacht haben und
wir uns jederzeit mit unseren medizinischen Problemen in der Tierklinik
Magdeburg gut aufgehoben fühlen.
Auf noch ein langes Bernerleben...........
... zurück zum Start |
Klaus-Dieter
Held • Werder • 39114 Magdeburg
|
|